3509 SE Willoughby Blvd, Stuart, FL 34994
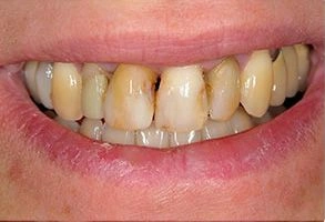
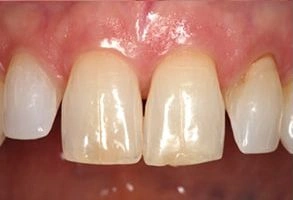
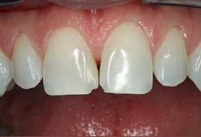
Before

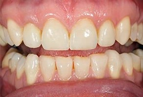
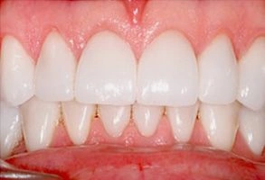
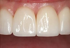
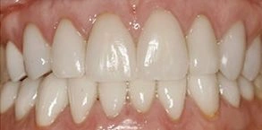
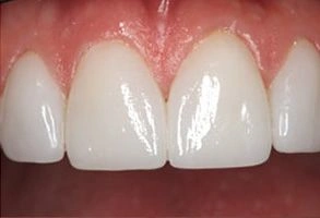
After

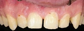
Before

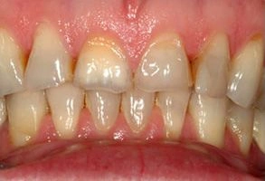
After

Before

After

Before

After

Before

After

Before

After

Before

After

Before

After

Additional Information
Our Location
3509 SE Willoughby Blvd, Stuart, FL 34994
Existing Patients: (772) 220-2990
New Patients: 772-732-8262

